【10代男性】
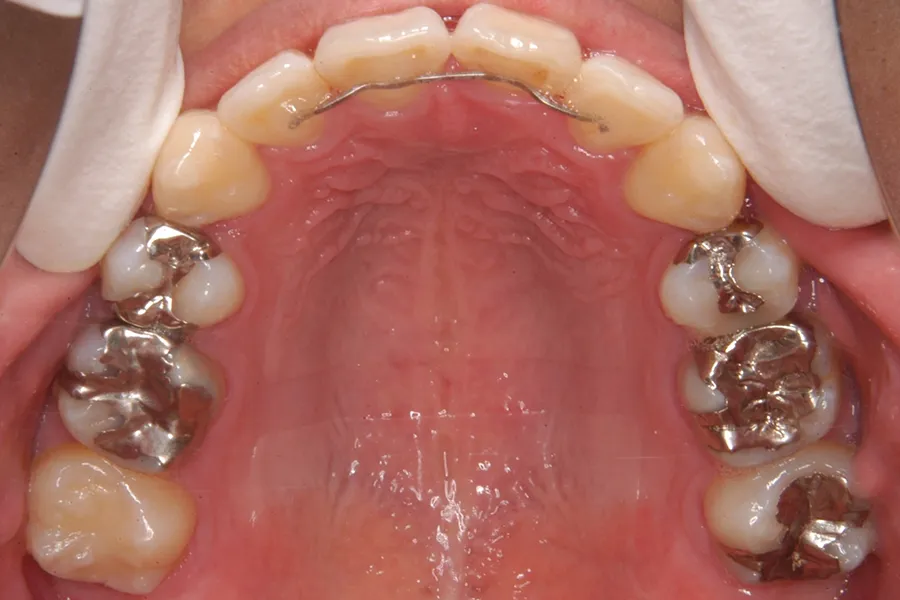
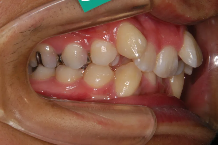
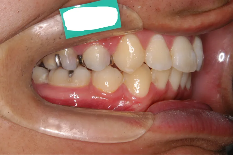
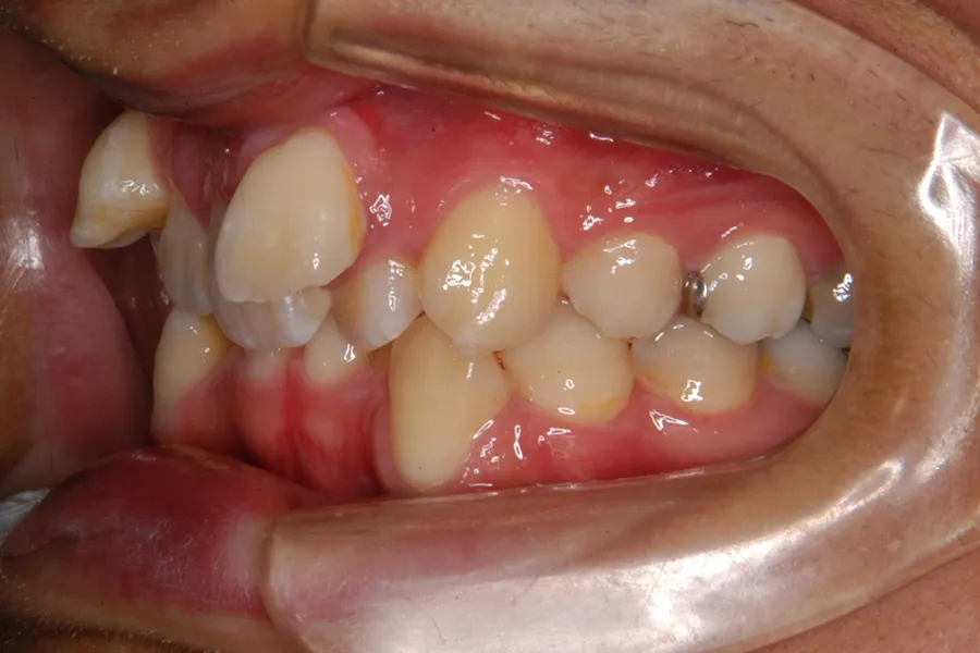
ガタガタ(叢生・上顎前突)
【ワイヤー矯正(マルチブラケット装置)】
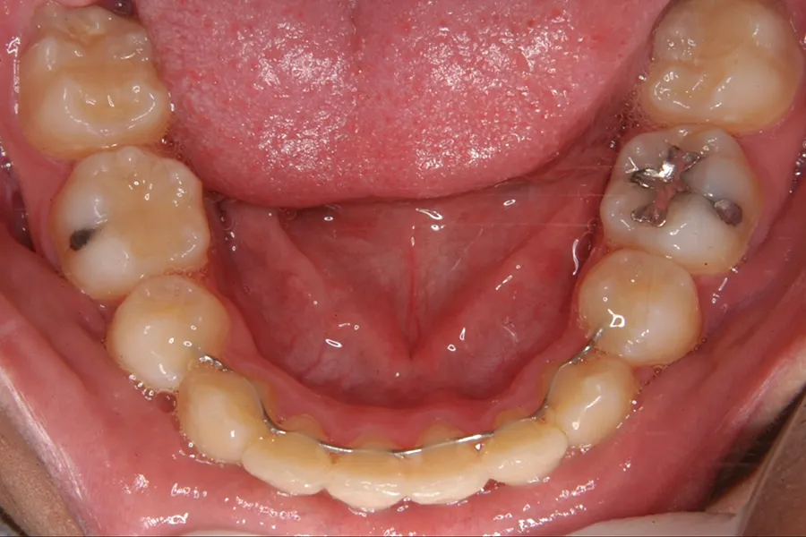
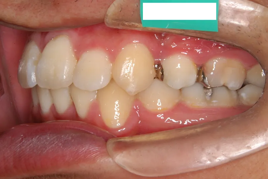
治療前
治療後
治療前
治療後
治療前
治療後
治療前
治療後
治療前
治療後
| 主訴 | ガタガタ |
|---|---|
| 主な症状 | 叢生・骨格性上顎前突 |
| 年齢 | 男性・18歳 |
| 治療に用いた主な装置 | マルチブラケット装置 |
| 抜歯部位 | ・上顎両側第一小臼歯 ・下顎左側第一と右側第二小臼歯 |
| 治療期間 | 34ヶ月 |
| 治療費概算 | 750,000円 |
| リスクと副作用 | ・歯肉退縮 ・歯根吸収 ・虫歯 ・治療後の後戻り |





