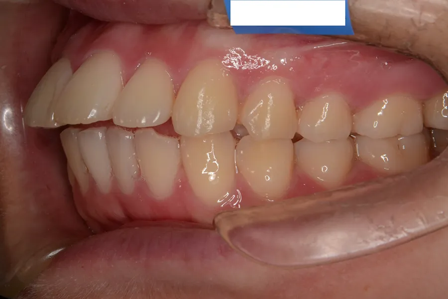
【10代女性】
出っ歯で口元が出てしまっている
【ワイヤー矯正(マルチブラケット装置)、
アンカースクリュー】
治療前
治療後
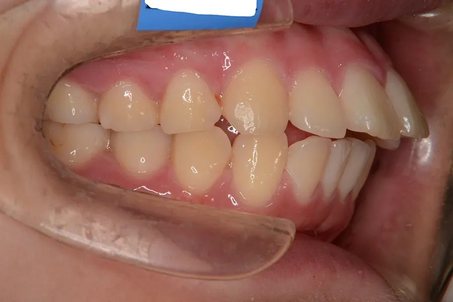
治療前
治療後
治療前
治療後
治療前
治療後
| 主訴 | 出っ歯、口元が出ている |
|---|---|
| 主な症状 | 歯性開咬・歯性上下顎前突 |
| 年齢 | 女性・18歳 |
| 治療に用いた主な装置 | ・マルチブラケット装置 ・歯科矯正用アンカースクリュー |
| 抜歯部位 | 上下顎両側第一小臼歯 |
| 治療期間 | 30ヶ月 |
| 治療費概算 | 830,000円 |
| リスクと副作用 | ・歯肉退縮
・歯根吸収 ・虫歯 ・治療後の後戻り |





