【10代】
受け口を治療したい
【ワイヤー矯正
(マルチブラケット装置)】
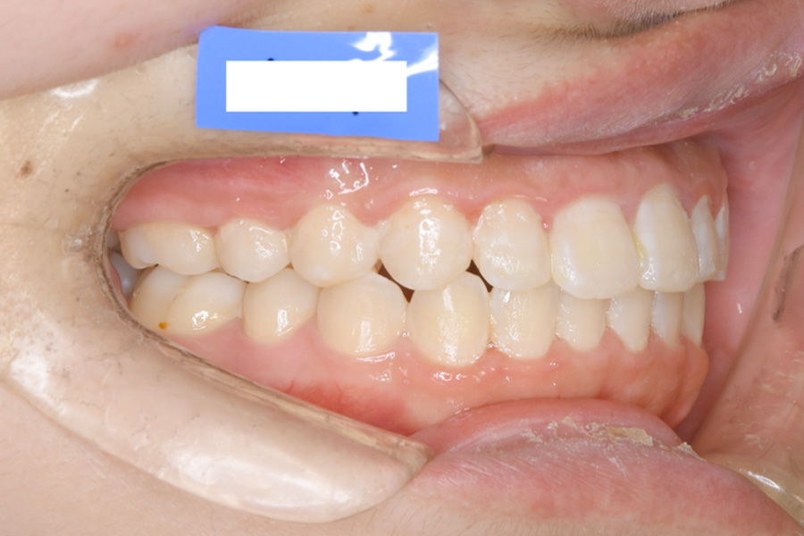
治療前
治療後
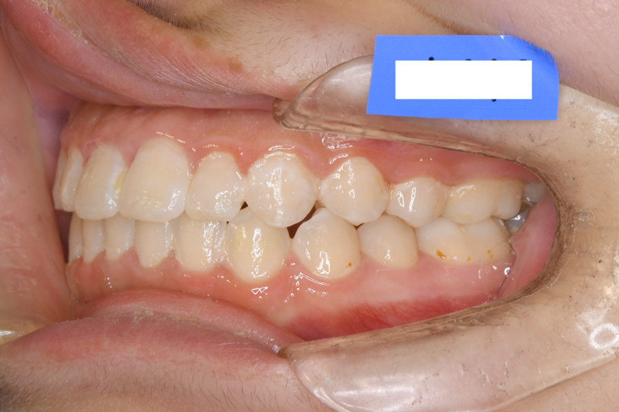
治療前
治療後
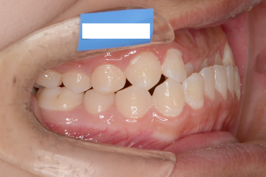
治療前
治療後
| 主訴 | 受け口 |
|---|---|
| 主な症状 | 骨格性下顎前突 |
| 年齢 | 16歳 |
| 治療に用いた主な装置 | マルチブラケット装置 |
| 抜歯部位 | 非抜歯 |
| 治療期間 | 20ヶ月 |
| 治療費概算 | 800,000円 |
| リスクと副作用 | 歯肉退縮、歯根吸収、虫歯、治療後の後戻り |





