-
土・日も
18時まで診療 -
矯正認定医
による
無料矯正相談 -
無料駐車場
340台完備
話す力が、治す力に。矯正認定医によるカウンセリング
どこまでも、丁寧に。
勤続30年、矯正認定医が
“その後”まで見据えて向き合います。
googleのセキュリティ強化の影響でカレンダーが閲覧できない場合がございます。
奈良市「高の原駅」から
徒歩すぐの通いやすい矯正歯科
矯正治療認定医による治療|しみず矯正歯科クリニック
同じお悩みでも患者さま一人ひとりに合わせて複数の治療選択肢をご提案いたします。
丁寧なカウンセリングを通じて患者さまのご希望や状況に最適な治療プランを決定いたします。
当院には奈良市以外にも、木津川市・精華町などからも多くご来院いただいております。
駐車場も完備しているので、お気軽にご来院ください。
平日は20時まで、土曜日・日曜日も18時まで診療しております。
| 診療時間 | 月 | 火 | 水 | 木 | 金 | 土 | 日 |
|---|---|---|---|---|---|---|---|
| 10:00-12:00 | ● | ● | ━ | ━ | ● | ● | ● |
| 14:00-20:00 | ● | ● | ━ | ━ | ● | ▲ | ▲ |
- 【休診日】
- 水曜・木曜・第1,4土曜日・
第1,2日曜日・祝日 - 【診療時間】
- 平日:10:00~12:00 / 14:00~20:00
【▲】 14:00〜18:00
CONCEPT
信頼される治療で
いつまでも素敵な笑顔を
皆様が笑顔で過ごせるように、当院は全力でサポートいたします。
そのために、患者さまお一人おひとりのお話を丁寧にお伺いし、“あなたにぴったりの”治療選択肢をご用意。
納得のいく治療法を、じっくりご相談いただけます。当院には奈良市以外にも、木津川市・精華町などからも多くご来院いただいております。どんなに小さなお悩みでもしみず矯正歯科クリニックへお気軽にご相談ください。
勤続30年、研鑽された技術による、信頼の治療であなたの笑顔を守ります。
FEATURES
しみず矯正歯科クリニックの
矯正治療
-
1
矯正認定医による
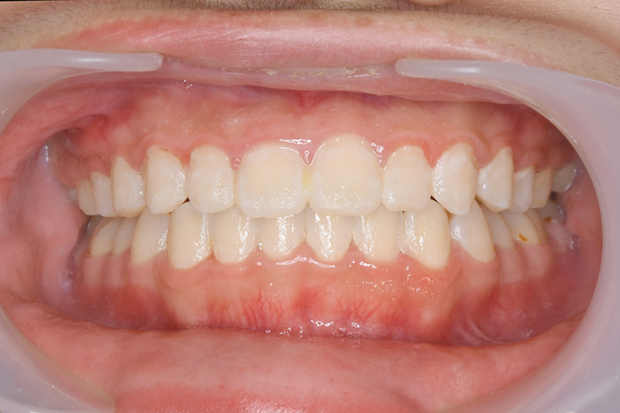
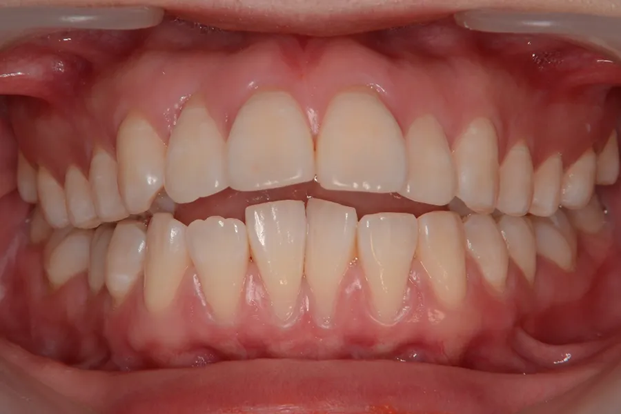
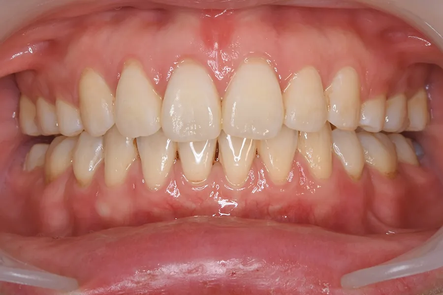
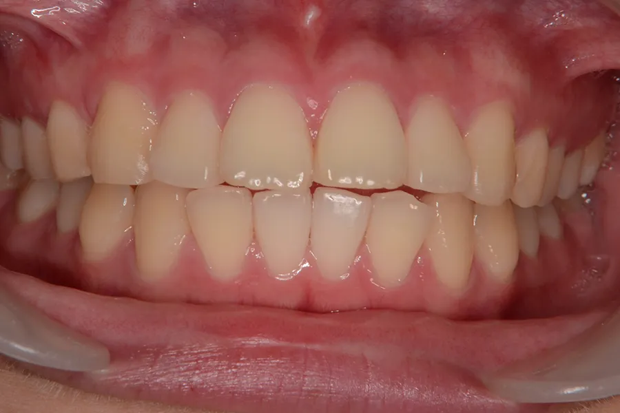
矯正治療専門医院当院は歯列矯正・矯正歯科専門のクリニックであり、矯正医が常時勤務しております。そのため、矯正治療専門のドクターによる丁寧な矯正治療が可能です。また毎回、矯正医が直接診療いたします。当院の院長は、日本矯正歯科学会認定医と日本矯正歯科協会の専門医を取得しております。
-
2
納得ができるまで
カウンセリング患者さまの歯並びに関するさまざまなご相談内容やご不安に対して、矯正治療の専門家である私たちから、あらゆる可能性や選択肢を充分に説明することが大切だと感じています。
矯正治療は他の治療より時間もお金も多くかかりますので、納得がいく形で治療を進めていきましょう。 -
3
日曜も診療
当院は平日同様に第3,第4日曜も18時まで診療しております。矯正治療は何年もかかることが一般的です。
クラブ活動や勉強、お仕事が忙しくなり、平日の来院が難しい患者さまも安心して治療を進められる環境を整えておりますので、まずはお気軽にご予約くださいませ。 -
4
セルフライゲーションブラケットを使用しております
通常はオプションとなることが多いセルフライゲーションブラケットをスタンダードに使用しております。 セルフライゲーションブラケットの種類も多数揃えており、目立たないデーモンクリアブラケットもございます。
-
5
後戻りや治療再開への保証
当医院で治療を受けられ後戻りした場合、無料で再治療させて頂きます(指示通りの保定装置の使用や、定期健診を受けられている場合に限ります)。
ご予約・ご相談はお気軽に!
ご予約はWEBまたはお電話にて
承っております。
WEB予約が埋まっていても、当日受診可能な場合がございますので、お電話ください。
GREETING
奈良県奈良市の矯正歯科 | しみず矯正歯科クリニック
院長ご挨拶
資格・所属学会
- 朝日大学大学院歯学研究科卒業(歯学博士)
- 日本矯正歯科学会認定医
- U.S.C.(南カリフォルニア大学)Dr.Dougherty course修了
- 日本歯科矯正医認定機構(JBO)認定歯科矯正医
- 日本矯正歯科学会(JOS)
- 日本口蓋裂学会
- 近畿東海矯正歯科学会
- 中・四国矯正歯科学会
- 日本矯正歯科協会(JIO)
- 日本矯正医認定機構(JBO)
しみず矯正歯科クリニック 院長
清水 美輝雄
数ある矯正治療から
患者さまに
あった治療法をご提案します
矯正治療にはさまざまな方法がありますが、どの方法を選んだとしても年単位の時間がかかりますし、患者さまにとって負担の大きい治療になります。ですが、歯並びや噛み合わせの改善、口腔機能の向上、顔貌の変化など、期待できるメリットがあるから頑張れるのだと思います。
だからこそ私は、矯正専門の歯科医師として、間違った診断や安易な矯正法を選んでつらい思いをする人を一人でも減らせるよう、こうして矯正の正しい知識やクリニック選びの重要性を日々発信し続けています。
当院には奈良市以外にも、木津川市・精華町などからも多くご来院いただいております。
矯正治療に興味のある人がいましたら、まずは話を聞くだけでも構いません、気軽にクリニックへお越しください。
資格・所属学会
- 朝日大学大学院歯学研究科卒業(歯学博士)
- 日本矯正歯科学会認定医
- U.S.C.(南カリフォルニア大学)Dr.Dougherty course修了
- 日本歯科矯正医認定機構(JBO)認定歯科矯正医
- 日本矯正歯科学会(JOS)
- 日本口蓋裂学会
- 近畿東海矯正歯科学会
- 中・四国矯正歯科学会
- 日本矯正歯科協会(JIO)
- 日本矯正医認定機構(JBO)
TROUBLE
歯並びの不安をお持ちの方へ
こんな悩みや不安は
ありませんか?
-
写真やSNSに映るのが苦手
-
人前で自信を持って話せない
-
自分に自信が持てない…
-
もっと口を開けて笑いたい…
時間をかけた
丁寧なカウンセリングで、
患者さまお一人おひとりに最適な
治療プランをご提案いたします。
数ある治療法から症状に応じた
矯正治療をご提案!
高の原駅より徒歩すぐの矯正歯科「しみず矯正歯科クリニック」では一人ひとり症状に応じた矯正治療をご用意しております。
まずは歯ならびの状態を検査・診断したうえで、数ある治療法の中から適切な治療法をご提案させていただきます。
自分に合った矯正を見つけるために
装置の種類とよくあるご質問を
ご紹介します
FLOW
奈良県奈良市の矯正歯科 | しみず矯正歯科クリニック
初めて当院を利用される方へ
-
01.
ご来院・受付
受付へご予約名をお伝えください。保険証・お薬手帳をご用意願います。
-
02.
問診
症状について問診票を元にお話を伺います。 ご遠慮なくお聞かせください。
-
03.
検査・診断
今後の診療に必要な検査を行い、治療計画をご提案させていただきます。
-
04.
治療開始
当院では、痛みにも最大限配慮しながら治療を進めてまいります。
-
05.
メインテナンス
全ての治療が終了した患者さまは定期的なメインテナンスへ移行いたします。
初診のカウンセリングは無料です。
じっくりとお話しを伺います。
初診の時に装置別の料⾦概算をご説明しています。
その後、診断時に治療装置が決まるので、治療終了までの矯正料⾦をお知らせいたします。
基本料⾦は装置によって異なります。もし、治療期間が当初より多少延⻑する場合でも基本料⾦は変わりません。
矯正治療に含まれる費⽤
- 検査
- 診断
- 矯正治療基本料
- 調整料
- 保定装置料金







